
- by Lehel
- martie 3, 2022
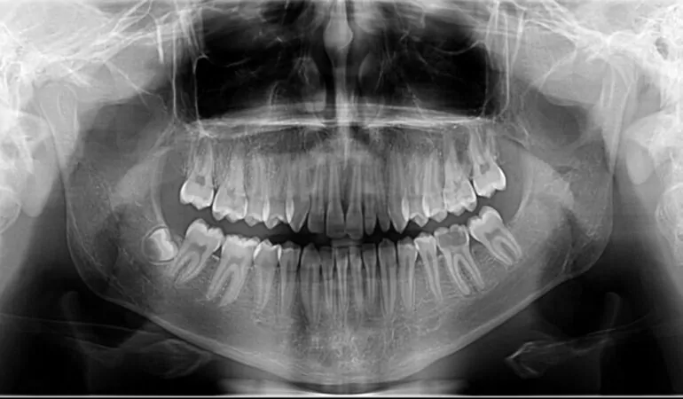
Radiografia dentară este o imagine a dinților, osului și țesuturilor moi din jur, care ajută la depistarea afecțiunilor dentare. Acestea pot scoate la iveală cariile dentare, structuri ascunse, cum sunt dintii inclusi (neerupti), precum și pierderea osoasă, afecțiuni care nu se pot observa cu ochiul liber. Radiografiile pot fi utilizate și după realizarea unui tratament pentru a verifica succesul acestuia.

